CTA scans reduce heart attack rates

A CVS study led by Professor David Newby indicates that a non-invasive diagnostic scan could cut heart attack rates and reduce risk of death from heart disease.

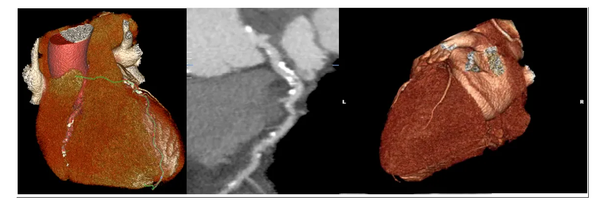
Image
SCOT heart image

The study involved 4,146 suspected angina patients who had been referred to hospital clinics for chest pain. Angina is chest pain that can indicate risk of heart attack, caused by reduced blood flow to the heart muscles.

Half of the patients in the study received a CTA scan, or computed tomography angiogram, in addition to standard diagnostic tests. The study then followed these patients for several years, noting treatments, procedures, and any future heart attacks or death from coronary heart disease. In the five years following the tests, the rate of heart attack in those who had received the CTA scan dropped by 40 percent.

In the first year, the number of patients who underwent additional procedures increased, but the total number of procedures levelled out between both groups by the end of the five year period. This indicates that implementing regular diagnostic use of CTA for angina patients would not increase overall healthcare costs or number of heart procedures carried out.

This is the first time that CT guided management has been shown to improve patient outcomes with a major reduction in the future risk of heart attacks. This has major implications for how we now investigate and manage patients with suspected heart disease.

Professor David Newby

Centre for Cardiovascular Science, principal investigator of the SCOT-HEART trial

25 percent of patients who received the CTA scan had their conditions reclassified, prompting different treatment. Those who received the extra scan also received more preventative therapies than those who only received the standard tests.

Using CTA scans is easier, cheaper, and safer than previous alternatives. Many angina patients are currently diagnosed using angiograms, which involve inserting tubes into the body and heart to examine any blood flow restrictions near the heart. CTA scans offer a less complicated, non-invasive way to examine obstructed blood vessels.

This is the first study examining the long-term impact of CTA scans on survival rates.

The SCOT-HEART trial was published in the New England Journal of Medicine on 25 August, 2018.

SCOT-HEART Trial NEJM 2018