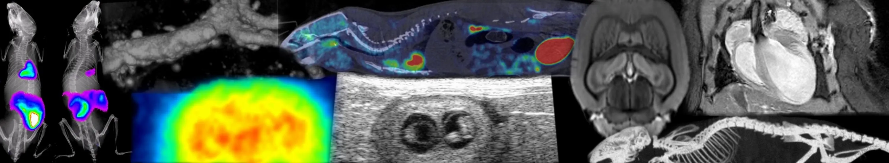
An overview of the research goals, current research projects, and principal investigators of the CINEMA research theme. Image The Cardiometabolic Imaging: New Methods and Applications (CINEMA) theme is a PI lead group of physicists, engineers, clinicians and biologists who work together, as well as across CVS themes and external collaborations, to generate disease modelling and novel imaging techniques that will ultimately improve diagnosis and future therapies. Non-invasive imaging techniques have revolutionised the ability to determine primary causes of cardiac, vascular and metabolic disease as well as the efficacy of potential therapies. The Cardiometabolic Imaging: New Methods and Applications (CINEMA) theme is a PI lead group of physicists, engineers, clinicians and biologists who work together, as well as across CVS themes and external collaborations, to generate disease modelling and novel imaging techniques that will ultimately improve diagnosis and future therapies. The CINEMA theme members collaborate across the CVS research themes and beyond to develop and provide state-of-the are in vivo imaging and modelling to our users and collaborators. Our members are currently pursuing the following research priorities: (Injectable) Biomarker development Hardware and software development Image analysis, big data and modelling In vivo imaging and modelling of humans and animals can provide important information on structure and function of different organs in a non invasive manner. Under the umbrella of Edinburgh Imaging, many CVS members use the excellent preclinical (Edinburgh Preclinical Imaging) and clinical (CRIC - Edinburgh Imaging Facility QMRI and BRIC - Edinburgh Imaging Facility WGH) facilities to generate state-of the art imaging protocols to determine novel biomarkers and therapies for their respective fields. Edinburgh Imaging Edinburgh Preclinical Imaging CRIC - Edinburgh Imaging Facility QMRI BRIC - Edinburgh Imaging Facility WGH CINEMA Research Projects Current research projects within the research theme of Cardiometabolic Imaging (CINEMA) at CVS. CINEMA Research Groups A list of the current PI-led Research Groups within the CINEMA research theme. Magnetic Resonance Imaging (MRI) The Centre for Cardiovascular science has had a long tradition in innovation of cardiac imaging from Preclinical MRI informing clinical diagnostic techniques. These innovations have lead to major clinical trials (MA3RS study and EVOLVED TRIAL). Present preclinical MRI projects for clinical translation include are on novel manganese-enhanced imaging of the myocardium, measuring fibrosis and adverse cardiac remodelling under pressure overload in the mouse and cardiac 23Na MRI imaging to identify viability of myocardium after cardiac infarction and multimodality imaging of myocardial infarction. Further studies are investigating novel contrast agents in studies of Type 1 and Type 2 diabetes. MA3RS study EVOLVED TRIAL manganese-enhanced imaging of the myocardium cardiac remodelling under pressure overload cardiac 23Na MRI imaging of myocardial infarction novel contrast agents in studies of Type 1 and Type 2 diabetes Positron Emission Tomography (PET) CVS researchers lead a multicentre cohort study determine if 18F-PET imaging can identify high-risk vulnerable coronary artery plaques (SCOT-HEART trial). The Saltire 2 project will use PET/CT imaging to assess the potential for new treatments to halt the progression of aortic stenosis and reduce the need for valve replacement surgery. The preclinical PET researchers are developing new PET ligands: 18F-LW223 is a ligand that will identify cardiovascular inflammatory disease, improving on present ligands which are susceptible to polymorphisms (Detection of cardiovascular inflammation using PET) and an 18F-Proline probe for the identification of cardiac fibrosis activity (PET imaging biomarkers of fibrosis). Standardisation of preclinical PET protocols across PET scanners and PET facilities is essential to enable comparable data for crucial translation of data to human imaging. A cross country, multicentre analysis of PET/CT scanners and protocols is being carried out to achieve standardised protocols. SCOT-HEART trial Saltire 2 project Detection of cardiovascular inflammation using PET PET imaging biomarkers of fibrosis Standardisation of preclinical PET protocols High Definition Ultrasound High definition ultrasound is used to assess functional and structural outcomes from fetus through to adult. Present ongoing projects will identify the consequences of high and low glucocorticoid exposure on placental development and haemodynamic function. These studies will inform on the functional changes in feto-placental vasculature impacting on heart development and determine mechanisms whereby prenatal glucocorticoid exposure can underpin neonatal and adult cardiometabolic health. the consequences of high and low glucocorticoid exposure on placental development and haemodynamic function Research in a Nutshell Videos Prof Megan Holmes Prof David Newby Prof Carmel Moran Dr Scott Semple Dr Adriana Tavares This article was published on 2024-03-19