'Imaging Inside-Out' - Scouts evening

Recently a group of researchers delivered a public outreach activity on pre-clinical imaging to the Scouts group.

On the 10th March 2022 our imaging expert Professor Carmel Moran, along with Dr David Hardman (Usher Institute) and  Xanthe Miller (MPhys UG student), delivered a public outreach activity to the group of 20 Scouts at Craigmillar Park Church Hall. Their scout leader is Dr Natalie Homer.

 

Image
Scouts taking part in hands-on activities
Scouts taking part in hands-on activities

 

Image
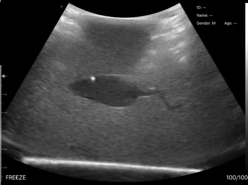
Ultrasound image of the object embedded in gel
Ultrasound image of the object embedded in gel

 

 

 

The activity entitled ‘Imaging Inside-Out’ involved a hands-on experience where participants used lightweight hand-held ultrasound scanners of varying frequencies to obtain live images of 3D printed miniaturised 3D shapes and mice embedded at different orientations in opaque gels. This activity encouraged a lively and informed discussion between the Scouts and our researchers about medical imaging and the use of animals in research.

 

 

 

 

 

The participants reflected back on what they learnt and gave a positive feedback, such as ‘good’, ‘curious’, ‘happy’, about their experience during the activity.

Image
Feedback on Post-It notes
Feedback on Post-It notes

The activity was funded by Professor Carmel Moran's ScotPEN Wellcome Engagement Award.

Edinburgh Preclinical Imaging website