5α-Reductases and risk of metabolic disease

5α-Reductases regulate metabolism of glucocorticoids and androgens. We have shown that inhibition of their activities either genetically or pharmacologically leads to increased risk of type 2 diabetes mellitus and are exploring the underlying mechanisms and degree of risk.

Image
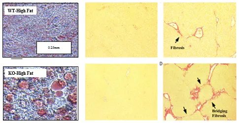
Combination of 6 images of WT-fat and KO-fat, showing fibrosis

Glucocorticoid hormones regulate stress responses and fuel metabolism. If present in excess, disease such as type 2 diabetes and obesity may arise. 5α-Reductase inhibitors are drugs used to treat prostate disease but they slow down the inactivation of glucocorticoids and our research has investigated the consequences that this may have for metabolism and risk of disease. Mice lacking 5α-reductase 1 are prone to developing insulin resistance and fatty liver, as are men receiving global 5α-reductase inhibitors in the short-term. Our on-going studies are examining the longer-term risks of treatment and also the signalling networks modified by this drug class.

Research Methods and Objectives

Genetic models, experimental clinical studies, pharmacoepidemiology, pharmacogenetics

Principal Investigator, Co-Investigators, Other researchers

Ruth Andrew, Dawn Livingstone, Brian Walker, Tom Michoel, Ewan Pearson

Image
Rate of disposal of glucose graph