Retinal optical coherence tomography (OCT): using the eye as a window on the kidney

Cardiovascular disease (CVD) is the leading cause of death in adults worldwide, with hypertension and chronic kidney disease (CKD) acting as major risk factors for its development. Alterations in microvascular function and structure have been implicated in the development and progression of both hypertension and CKD, so there is an urgent unmet clinical need for simple non-invasive methods to detect microvascular dysfunction, which might allow earlier identification of patients at increased risk of CVD. It is well recognized that the eye may act as a ‘window’ to the microvasculature.

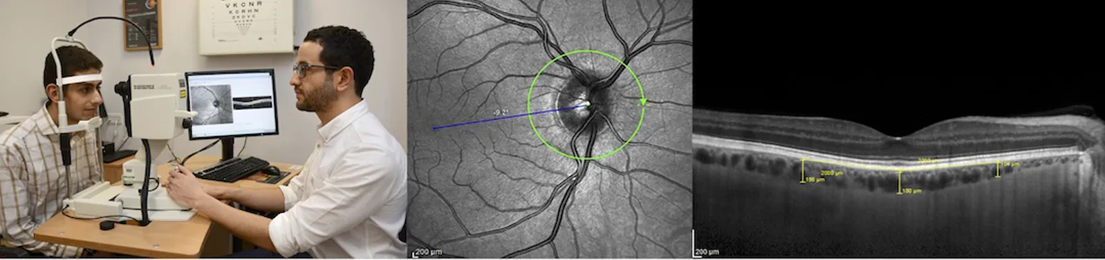
Image
Combination of 3 images relating to OCT imaging research

Research Methods and Objectives

Indeed, there are similarities between the renal and retinal circulations and the functions of the podocyte and pericyte. Until recently, quantitative imaging of the retinal microvasculature in vivo has proved challenging. Retinal optical coherence tomography (OCT) has transformed how we image the eye, enabling non-invasive, high-resolution, cross-sectional imaging of the retina in vivo. There is growing interest in retinal OCT as a novel method for identifying patients at increased CVD risk.

Recently, we used the SPECTRALIS OCT machine to examine retinal and retinal nerve fibre layer (RNFL) thickness, macular volume and choroidal thickness in a prospective cross-sectional study in 150 subjects – 50 patients with hypertension, 50 with CKD and 50 matched healthy controls and showed that retinal thickness, macular volume and choroidal thickness were all reduced in CKD patients compared to patients with hypertension and matched healthy subjects (p<0.001 for CKD vs. both hypertension and health). RNFL thickness did not differ between groups. Interestingly, a thinner choroid was associated with a lower eGFR (p<0.0001) and, in CKD, with greater proteinuria as well as increased plasma concentrations of CRP, IL-6, ADMA and ET-1 (all p<0.05). Finally, choroidal thinning was associated with renal histological inflammation and arterial stiffness.

Image
Combination of 2 images - one of a renal podocyte, one of a vascular pericyte

We have now shown that chorioretinal thinning in CKD is related to worsening renal function and greater proteinuria, but not blood pressure. We are developing this project to look at larger numbers of patients with a more diverse range of CKD pathologies, including patients with vasculitides and across transplantation. We also wish to extend the work to include non-invasive OCT angiography. These studies should show us whether the eye changes we see reflect underlying kidney pathology and the natural history of CKD. Ultimately, these data may help to predict patients at high cardiovascular and renal risk, and thereby improve their outcomes.

Principal Investigator, Co-Investigators, Other researchers

This research is carried out in collaboration with Bal Dhillon and Tom MacGillivray, in the Centre for Clinical Brain Sciences, University of Edinburgh

Donations

To assist in this work, donations can be made to the Edinburgh High Blood Pressure Fund (SC004307)