The Scottish COmputed Tomography of the HEART (SCOT-HEART) Trial

In the SCOT-HEART trial, we demonstrated the clinical effectiveness of computed tomography coronary angiography (CTCA) in patients attending the rapid access chest pain clinic with suspected angina pectoris due to coronary heart disease. This study demonstrated that CTCA increased diagnostic certainty, changed treatments and investigations, and halved the rate of future myocardial infarction. This trial has been highly influential, has received several awards (Queen’s Anniversary Prize 2014-2016; British Medical Journal Imaging Team of the Year Award 2017), and has informed the 2016 NICE guideline (CG95) on the investigation of patients with stable chest pain.

Image
The Scottish COmputed Tomography of the HEART

Research Methods and Objectives

This was a multicentre national trial of 4,146 patients undergoing assessment for suspected angina pectoris due to coronary heart disease who were referred to a rapid access chest pain clinic in Scotland. Patients were randomised 1:1 to received standard of care alone or standard of care and CTCA. Patients were followed up for the diagnosis, symptoms, investigations, treatment and outcome. The follow-up is ongoing with further outcomes expected in 2018. The primary endpoint was the certainty of the diagnosis of angina pectoris due to coronary heart disease.

Image
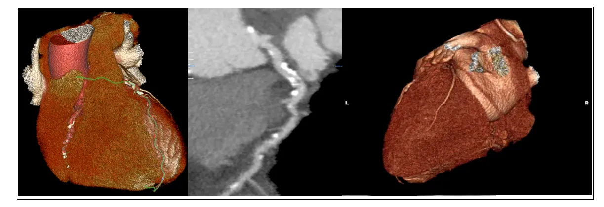
combination of three images of the heart
HTML

Principal Investigator, Co-Investigators, Other researchers

Chief Investigator: David Newby

Co-Investigators: Michelle WilliamsMarc DweckNick Mills

Key Publications

  1. Williams MC, Hunter A, Shah ASV, Assi V, Lewis S, Smith J, Berry C, Boon NA, Clark E, Flather M, Forbes J, McLean S, Roditi G, van Beek EJR, Timmis AD, Newby DE; SCOT-HEART Investigators. Use of Coronary Computed Tomographic Angiography to Guide Management of Patients With Coronary Disease. J Am Coll Cardiol. 2016 Apr 19;67(15):1759-1768.
  2. SCOT-HEART investigators. CT coronary angiography in patients with suspected angina due to coronary heart disease (SCOT-HEART): an open-label, parallel-group, multicentre trial. Lancet. 2015;385:2383-91.
  3. Adamson PD, Hunter A, Williams MC, Shah ASV, McAllister DA, Pawade TA, Dweck MR, Mills NL, Berry C, Boon NA, Clark E, Flather M, Forbes J, McLean S, Roditi G, van Beek EJR, Timmis AD, Newby DE. Diagnostic and prognostic benefits of computed tomography coronary angiography using the 2016 National Institute for Health and Care Excellence guidance within a randomised trial. Heart. 2018 Feb;104(3):207-214.